
Na terça-feira 08/04/2025 recebemos a foto em um grupo da rodovia SP 50 que liga São José dos Campos a Monteiro Lobato, de um Cachorro do Mato atropelado!

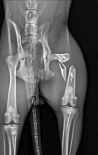
O animal tinha sido atropelado na noite anterior e já estava no local a mais de 15h! Como era caminho para o Natã, ele parou pra ver o que poderia ser feito e viu que o animal estava bem debilitado. Com a ajuda da concessionária que administra a rodovia, levou o animal para uma clínica particular em São José e após exames foram encontradas diversas fraturas e também o rompimento da bexiga.


Como nenhum empreendimento de fauna (Selva Viva e CRAS Univap) quis receber o animal no estado que se encontrava e as cirurgias precisavam ser feitas em caráter emergencial, o animal foi operado com a ajuda dos veterinários Henrique (Clínica VetBio) e Vanessa (Clínica Ortocanis). Estamos organizando essa vaquinha para cobrir os custos da cirurgia na bexiga, cirurgias ortopédicas, internação, medicamentos e alimentação do animal até que possa ser encaminhado para o CETAS de Lorena (que aceitou receber o animal depois que estivesse com a saúde estabilizada, já que, não tinha condições de arcar com as despesas médicas do animal).
𝗟𝗼𝗯𝗶𝗻𝗵𝗼, 𝗰𝗼𝗺𝗼 𝗳𝗼𝗶 𝗮𝗽𝗲𝗹𝗶𝗱𝗮𝗱𝗼 𝗰𝗮𝗿𝗶𝗻𝗵𝗼𝘀𝗮𝗺𝗲𝗻𝘁𝗲 𝗽𝗼𝗿 𝗻𝗼́𝘀, 𝗽𝗿𝗲𝗰𝗶𝘀𝗮 𝗱𝗮 𝘀𝘂𝗮 𝗮𝗷𝘂𝗱𝗮!

Doe e compartilhe! Toda ajuda é bem vinda!