
Olá a todos,
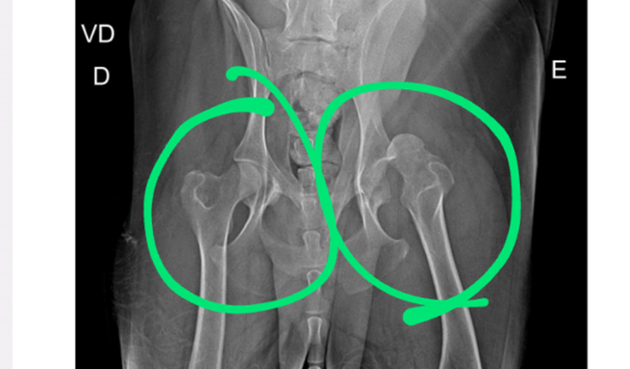
Meu nome é Rafael Gondim e estou aqui para pedir a ajuda de vocês em um momento muito difícil. Meu querido cachorro, Stark, recentemente foi diagnosticado com uma condição médica séria (displasia coxofemoral) que requer uma cirurgia urgente.
Como muitos de vocês sabem, Stark é muito mais do que um animal de estimação para mim. Ele é parte da minha família.
Infelizmente, o custo da cirurgia é muito alto para eu arcar sozinho, e é por isso que estou pedindo a sua ajuda. Qualquer contribuição, por menor que seja, fará uma diferença enorme e ajudará a trazer Stark de volta à saúde e à felicidade.