
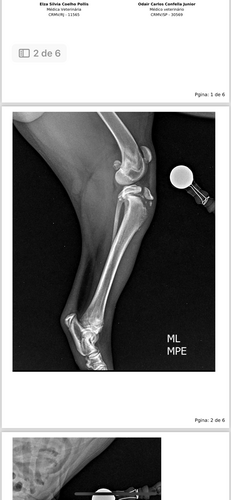
Olá me chamo Bruno tenho um filhote de Pit monster no dia 16/01/24 teve um temporal na minha região e meu Dog chamado Grego sempre fica na garagem e a noite fechamos a garagem e tem acesso uma porta da garagem para dentro de casa então ele se agitou de mais se assustou ele começou a dar pulos para tentar abrir a porta como eu trabalho de noite ele tava sozinho na garagem eu cheguei de manhã do trabalho ele estava mancando dei um anti-flamatorio para ele mas não resolveu levei no veterinário fez raio e veio a notícia que eu não queria escutar fratura na Tíbia: deslocamento proximal do centro de ossificação da crista da tíbia esquerda; ele vai precisar de cirurgia para implante, anestesia, exame de sangue raio x trans operatório eu não sei o que fazer e não tenho esse valor venho aqui pedir uma ajuda ele um bebê de 7 meses



