
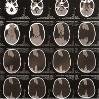
Oi, pexxual!! Me chamo Ygor Guilherme, tenho 2 aninho e nasci com uma malformação rara no cérebro chamada Esquizencefalia Bilateral de Labio Aberto.
Apesar da minha idade, eu ainda não consigo sustentar meu pescocinho, sentar ou andar. Por não conseguir manter o meu corpinho alinhado e preciso usar uma cadeirinha postural.
A cadeira postural vai ajustar meu corpinho e evitar que eu tenha problemas futuros relacionados a postura.
Minha cadeirinha custa R$25.000,00 e meus papais não conseguem arcar com esse valor, então criamos essa vakinha, para que vocês possam me ajudar a ter uma melhor qualidade de vida e fazer parte da minha linda histórinha.
Com amor, Ygor e família.


