
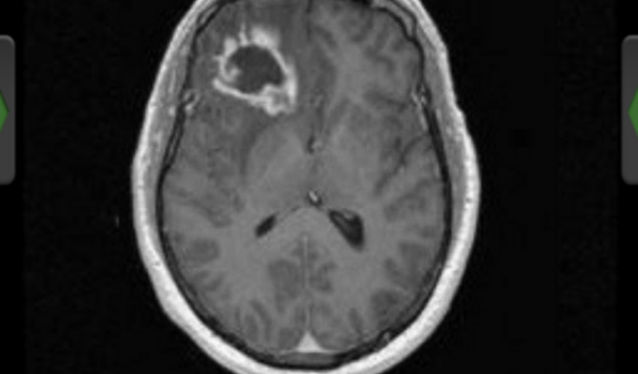
Ooooi gente , muitos me conhecem por ser uma pessoa muito alegre e espontânea , recentemente descobri que tenho um tumor benigno no meu lóbulo frontal que se for retirado agora existe 90% de chances de uma perca da visão atrapalhando também o comportamento , estou fazendo meu tratamento pelo meu convênio que foi des de quando comecei os exames e tratamentos , ele é um tumor sensível e que cresce rápido e estou fazendo uma vez por semana para tentarmos diminuir ele e está vaquinha e para pagar o meu tratamento com as rádios , exames e medicamentos, se sentirem no coração de doar qualquer valor será bem vindo , Deus abençoe a todos des de já 🙏🏼 cada pessoa que contribuir irá concorrer a dois jantares no restaurante ikigai Piracicaba 🍣🍱