
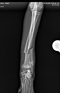
Olá, eu sou Josiane Faria, estou aqui para pedir o seu apoio em prol do Xande. Ele é um Cão de Rua, entre 6 a 8 meses, super dócil e carinhoso, que recentemente foi atropelado e sofreu fratura da pata esquerda (quebrou rádio e una), que comprometeu sua mobilidade e trouxe muita dor. Para que ele possa voltar a caminhar sem sofrimento, é fundamental realizar uma cirurgia ortopédica o quanto antes.
Os custos envolvidos no procedimento – incluindo consultas, exames de imagem, a própria cirurgia e os cuidados pós-operatórios.
Conto com a sua solidariedade para cobrir essas despesas e garantir uma recuperação tranquila ao Xande e assim consegui um Lar Definitivo com Amor e Carinho e NÃO volta para Rua.
Qualquer contribuição faz a diferença! Você pode doar via PIX, utilizando a chave de e-mail: 5712881@vakinha.com.br. Agradeço imensamente por cada gesto de carinho e por compartilhar essa campanha com amigos e familiares. Juntos, vamos devolver a saúde e a alegria de viver ao nosso querido Xande!


