
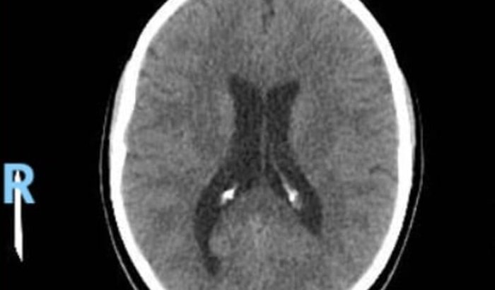
Descrição:Minha irmã Thamires tem sofrido com fortes dores de cabeça devido a uma má-formação no ventrículo cerebral. Desde pequena ela convive com essa condição sem saber, mas agora, com o corpo mais maduro, os sintomas se tornaram intensos.Cada esforço físico, cada momento em que o corpo precisa de mais oxigênio, gera dores intensas e desconforto, pois o ventrículo aumentado pressiona áreas do cérebro e atrapalha as funções normais.
Ela precisa de acompanhamento médico especializado, exames constantes e tratamento para recuperar sua qualidade de vida. Estamos fazendo esta vaquinha para custear consultas, exames e o início do tratamento.
Qualquer contribuição, por menor que pareça, fará uma enorme diferença na vida da Thamires.Desde já, agradecemos a todos que puderem ajudar e compartilhar. 🙏