
Olá a todos meus amigos, amigas, parentes, alunos e ex-alunos, todos que me conhecem.
Aqui fala Rubens Ferreira Pimentel, professor de inglês, resido em Redenção, Estado do Pará, mas faço tratamento de saúde em Brasília, DF.
Há 10 anos fui acometido por 02 câncer, sendo o primeiro câncer de próstata e o segundo câncer na pélvis lado direito, e graças a Deus fui curado, mas até hoje sofro com os efeitos colaterais de tanta radioterapia e quimo que tive que fazer, o que fez com que desgastasse as cabeças de meus Fêmur.
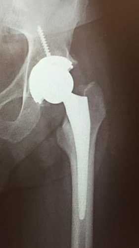
Fiz cirurgia em 2019 para colocação de uma prótese na perna esquerda, conforme foto anexada para que vocês possam ver, no momento preciso colocar a prótese da outra perna.
Eu tenho muita dificuldade pra me locomover, tenho como auxilio moletas.
Essa cirurgia com prótese, internação, UTI e etc, tem um custo muito alto, no valor de 55.000,00 e no momento näo possuo condições financeiras para arcar com tamanha despesa.
Sem condições e com essa pandemia estou impossibilitado, gostaria pedir quem puder, qualquer valor já me ajuda.
Minha conta é Banco Itaú, Ag 7247 c/poupança 02885-0 500, por favor quem sentir me ajudar faça e nosso bom Deus lhe dará em dobro.
Além dos problemas que informei vocês acima, tenho incontinência urinária fortíssima e necessito usar em média 4 fraldas por dia, também precisando operar da ureta mais tarde.
Pessoal, conto com vocês meus queridos. Deus lhes abençoem em tudo.
Muito obrigado. Tem fotos em anexo para que vocês vejam minha situação.
Meus contatos são: (94) 99145.5210 ou (94) 3424.2881
Email: rubens.pimentel@live.com e rp219610@gmail.com.

