Como ajudar
Descubra
Como funciona
Ajude o Oliver dog na sua cirurgia de fêmur e fisioterapia
Animais / Pets
Fortaleza / CE

Ajude o Oliver dog na sua cirurgia de fêmur e fisioterapia

ID: 5843804
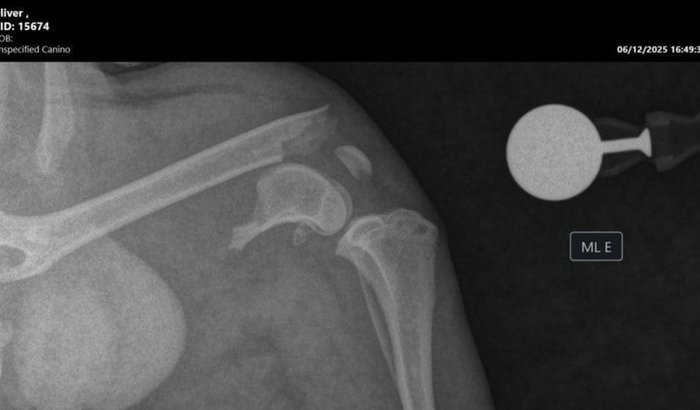
Oi, meu nome é Oliver! Fui abandonado dia 05/12 e em seguida atropelado. Fui parar na calçada de uma moça que ama animais e me viu sangrando e com a patinha machucada. Ela cria 9 gatos e não tem condições de pagar meu tratamento. Mas mesmo ver tudo
Sobre
Atualizações
Quem ajudou
Vakinha Premiada
Selos recebidos
Perguntas e Respostas
Vaquinha criada em: 11/12/2025

Oi, meu nome é Oliver! Fui abandonado dia 05/12 e em seguida atropelado. Fui parar na calçada de uma moça que ama animais e me viu sangrando e com a patinha machucada. Ela cria 9 gatos e não tem condições de pagar meu tratamento. Mas mesmo assim ela me levou pra casa, me deu remédio, me levou pra fazer raio x, e meu fêmur está completamente quebrado. Ela começou uma vakinha pra pagar minha cirurgia, medicações e fisioterapia. Tentou em clínicas gratuitas, mas não conseguiu. Meu caso é muito sério e de emergência, e preciso de você. Por favor DOE QUALQUER VALOR.

A cirurgia é R$ 1.400 e a fisioterapia R$ 1.400.

Instagram: https://www.instagram.com/ajudeooliverdog?igsh=dXAyOHQ4dTJoaWJm&utm_source=qr@ajudeooliverdog

 

 

Denunciar essa vaquinha
AVISO LEGAL: O texto e as imagens incluídos nessa página são de única e exclusiva responsabilidade do criador da vaquinha e não representam a opinião ou endosso da plataforma Vakinha.
Arrecadado
R$ 755,14
de R$ 2.800,00
Corações Recebidos
9
Apoiadores24
Esta vaquinha possui uma equipe
Ver equipe
Os integrantes da equipe auxiliam Alícia Ingrid Guerreiro Rebouças a divulgar a vaquinha, postar atualizações e agradecer doadores.
Outras histórias também precisam de você!