
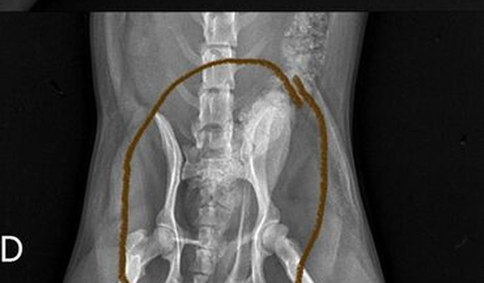
Ola, sou o Naylon, no dia 03/07/2023 eu resolvi sair para rua sem a supervisão dos meus pais e fui atropelado por uma motocicleta e quebrei a minha perna esquerda, meus papais estão me levando ao veterinário para eu fazer exames, porém, dentro desse alguns exames foi recomendado a fazer uma cirurgia urgente na minha patinha esquerda é tem um Ossinho que está preste a perfura minha Bixiga 😔por isso peço ajuda de cada um que estiver lendo. E quem puder me ajudar com qualquer valor ou compartilhando já me ajudaria muito. Desde já agradeço, um abraCÃO do Naylon. ❤️🐶