
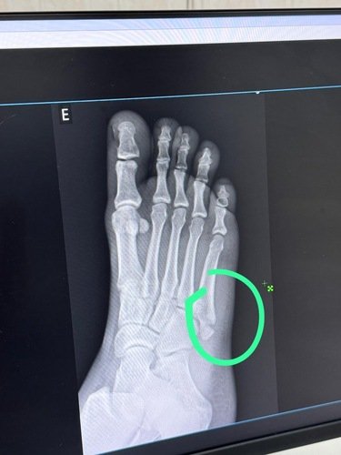
Sou Max Lima, um triatleta de 24 anos e educador físico. Sofri uma grave lesão ao descer as escadas de casa, fraturando o quinto metatarso do pé esquerdo. Para que eu possa continuar minha carreira como atleta, é essencial que eu passe por uma cirurgia urgente antes que ocorra a calcificação do osso. A cirurgia precisa ser realizada até o dia 20/09/2024 e custa R$15.000,00.
Sobre a Lesão:
A fratura do quinto metatarso é uma lesão séria, especialmente para atletas. Este osso, localizado na parte externa do pé, é crucial para a estabilidade e a mobilidade. Em triatletas, que dependem intensamente dos pés para correr, pedalar e nadar, uma fratura como essa pode ser devastadora. Sem a cirurgia adequada, Max corre o risco de não conseguir retornar às competições, comprometendo sua carreira e seu sonho.
Como Você Pode Ajudar:
Estamos arrecadando fundos para cobrir os custos da minha cirurgia e garantir que eu tenha a melhor chance de recuperação. Qualquer contribuição, por menor que seja, fará uma grande diferença.
Doe agora e faça parte dessa jornada de recuperação!






