
Olá! Meu nome é Lívia e venho pedir ajuda para salvar meu gatinho Kiran, de 2 aninhos.
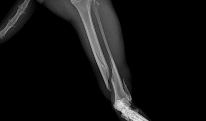
Ele sofreu uma fratura na tíbia, e o raio-X mostrou que ele vai precisar passar por uma cirurgia ortopédica de urgência com pino e placa para recuperar a patinha.
Infelizmente, o valor total da cirurgia é R$ 2.575,00, e eu não tenho como pagar sozinha.
O Kiran está sentindo dor e não consegue andar e sem a cirurgia, ele pode perder a mobilidade e tem a possibilidade de ter que amputar a pata.
🩻 A imagem do raio-X está aqui na vaquinha para mostrar exatamente a gravidade da fratura.
🐾 Também coloquei fotos dele saudável, porque ele é muito especial pra mim e merece ter uma vida sem dor.
O Kiran é um gato carinhoso, alegre e cheio de vida. Ver ele assim, sem conseguir andar, parte meu coração.
Eu estou fazendo essa vaquinha porque sozinha eu não consigo, mas juntos nós conseguimos salvar minha bolinha laranja.
Qualquer valor, por menor que seja, já vai fazer uma diferença enorme.
Se você não puder ajudar financeiramente, compartilhar a vaquinha também ajuda MUITO.
Obrigada de coração a todos que estenderem a mão pro meu menino. ❤️🐾
Que Deus abençoe cada pessoa que ajudar o Kiran a voltar a andar.