
🐾 Ajude o Romeo a voltar a andar!
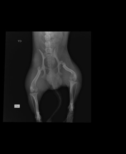
No dia 05/11/2025, o Romeo, meu cachorrinho, foi atropelado por um motoqueiro que infelizmente não prestou socorro e foi embora. 😢Ele machucou seriamente a patinha e precisa passar por exames, tomar remédios e fazer uma cirurgia no fêmur para conseguir andar sem dor e ter qualidade de vida novamente.
Atualmente não temos condições de arcar com essa cirurgia, por isso criamos essa vaquinha.Qualquer valor, por menor que seja, faz toda diferença para ajudar o Romeo a se recuperar. 🙏💙
Se não puder contribuir financeiramente, compartilhar também ajuda muito!
🐶💛 Obrigada de coração por toda ajuda e carinho!
