
Oi pessoal, meu nome é Koda (Caramelo)
Tenho aproximadamente 2 anos, meus papais me resgataram na praia de coqueiral de itaparica mancando com a patinha machucada.
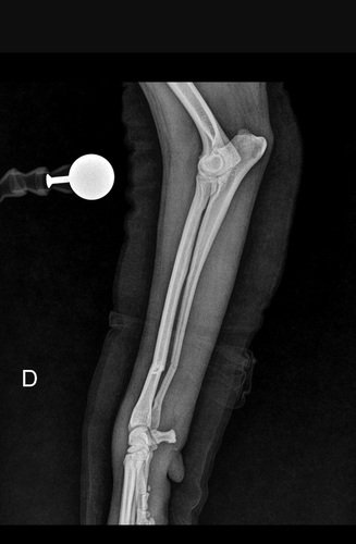
Eles me levaram no médico, e depois dos exames viram que minha patinha esta quebrada e vou precisar de cirurgia.
Estou com a patinha imobilizada, esperando a cirurgia.
Venho pedir a ajuda de vocês pra ajudarem os meus papais a custear a minha cirurgia pra eu melhorar.
Qualquer ajuda, compartilhamento, palavra de carinho ja ajuda muito.



Informações dos exames e cirurgia
- Linhas de fraturas oblíquas e completas em diáfise distal de rádio e ulna direitos, com leve desvio do eixo ósseo.
- Aumento do volume de tecidos moles adjacentes ao foco de fraturas.
- Articulações umerorradioulnar e radiocárpica com relação preservada. Superfícies articulares lisas e regulares.
- Áreas de inserções tendíneas dentro da normalidade.
Impressão diagnóstica:
- Fraturas de rádio e ulna direitos, associado a edema dos tecidos adjacentes.
Encaminho paciente supracitado para realização de osteossíntese de rádio e una direita
Paciente adotado claudicando de membro torácico direito.
Com instabilidade de rádio e ulna. Radiografia confirmou fratura oblíqua curta de rádio direito