
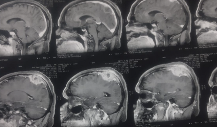
Eu sou Lucineya Maria, estou tentando fazer a cirurgia do meu márido para tentar tratar de um tumor cerebral que foi descoberto a duas semanas , eu preciso inicialmente dé R$ 2000,00 e talves precise de mais R$ 1000,00 para comprar os remédios, já tentei recorrer a amigos e vizinhos e nao consegui , então peço encarecidamente quem puder me ajudar , a cirurgia é nesta quinta agora, desde ja agradeço e que Deus Abençoe a vida de todos.