
Queridos amigos, familiares e todos os corações generosos,
Hoje, estamos aqui reunidos para apoiar Maria do Socorro Alves Galvão, uma guerreira que está enfrentando uma batalha contra um tumor. Maria do Socorro é uma pessoa incrível, cheia de vida e amor, e agora ela precisa da nossa ajuda mais do que nunca.
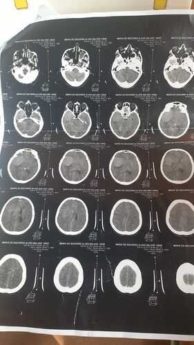
Recentemente, Maria do Socorro recebeu o diagnóstico devastador de um tumor na cabeça. Esta notícia abalou não só ela, mas todos nós que a amamos e admiramos. No entanto, Maria do Socorro é uma lutadora e está determinada a vencer esse tumor.
Para isso, ela precisa passar por uma cirurgia crucial. Esta cirurgia é sua melhor chance de vencer o tumor e recuperar sua saúde. No entanto, os custos associados a este procedimento são significativos, e é por isso que estamos lançando esta vaquinha online.
Nosso objetivo é arrecadar $60.000 para cobrir os custos da cirurgia, incluindo despesas médicas, hospitalares e de recuperação. Cada contribuição, por menor que seja, fará uma enorme diferença na vida de Maria do Socorro. Vamos nos unir como uma comunidade, mostrar nosso apoio e amor, e ajudar Maria do Socorro a vencer essa batalha.
Sabemos que nem todos podem contribuir financeiramente, mas você pode nos ajudar compartilhando esta vaquinha com seus amigos, familiares e em suas redes sociais. Cada compartilhamento aumenta nossas chances de alcançar nossa meta e dar a Maria do Socorro a oportunidade de um futuro saudável e feliz.
Maria do Socorro é uma pessoa incrível, cheia de amor e esperança. Vamos mostrar a ela que ela não está sozinha nesta jornada. Juntos, podemos fazer a diferença.
Obrigado por sua generosidade, apoio e amor.













