
Minha mãe, Valcilea (Léia), foi diagnosticada há cerca de um ano com glioblastoma — um tipo de tumor cerebral extremamente agressivo e de rápido crescimento.
Essa doença trouxe graves prejuízos à sua saúde, como a perda das funções motoras e da mobilidade do lado esquerdo, tornando-a totalmente dependente de cuidados.
Nesse período, ela passou por uma cirurgia e seguiu o tratamento padrão com radioterapia e quimioterapia. Em julho, encerrou essa etapa e finalizou a químio.
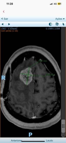
No dia 9 de outubro, uma nova ressonância com perfusão revelou um novo tumor de aproximadamente 4 cm, que já está causando inchaço e edemas em seu cérebro.

O caso é extremamente urgente — o tumor dobra de tamanho a cada mês, e infelizmente estamos enfrentando morosidade por parte do convênio para dar continuidade ao tratamento.
Após muita busca, encontramos um neurocirurgião em Curitiba, especialista em casos complexos como o dela, que utiliza uma técnica mais avançada, oferecendo maiores chances de sucesso.

(Não foi autorizado divulgar nome do médico e do hospital)O problema é que o custo total da cirurgia, tratamento e deslocamento é de R$ 130.000,00, um valor muito acima da nossa realidade.
Nossa família está fazendo de tudo — rifas, vendas e campanhas — e pedindo ajuda a todos os amigos e conhecidos.
Mas precisamos da sua ajuda para salvar a vida da minha mãe.
Cada contribuição, de qualquer valor, faz diferença.
E, se você não puder contribuir financeiramente, por favor, compartilhe esta campanha — isso já nos ajuda imensamente.
Deus abençoe cada pessoa que puder ajudar. 🙏