



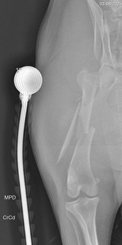
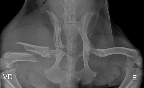
Essa é a Rute, foi atropelada na segunda feira de carnaval, foi resgatada porém não temos o valor para fazer a cirurgia, ela teve múltiplas fraturas e uma bem grave com risco de se tornar exposta!! Precisamos muito da ajuda de todos vocês para que a Rute possa ser operada o mais rápido possível..