










Olá, meu nome é Géssica e faço parte do grupo União Protetora de Caseiros, um grupo de voluntários que dedica tempo, amor e recursos para ajudar animais necessitados da nossa cidade. Nosso grupo também foi responsável pelo resgate da Anja, a cachorrinha que teve as patinhas amputadas pelo seu antigo tutor e que hoje está segura, recebendo todo o cuidado que merece.
E agora, mais uma vez, precisamos unir forças para salvar outra vida: a Pantufa.
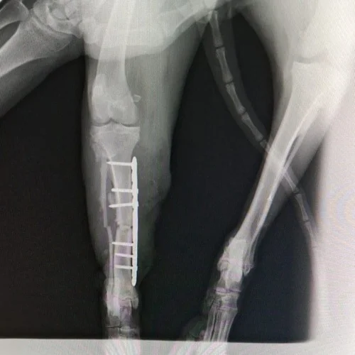
A Pantufa, com menos de um ano de vida, foi brutalmente atropelada em uma BR e chegou até nós com fraturas graves — três patas quebradas, sendo duas dianteiras e uma traseira. Uma das patinhas dianteiras estava com osso exposto, e por esse motivo precisou ser amputada imediatamente. Houve até quem sugerisse a eutanásia, mas nós não queríamos desistir dela. A Pantufa queria viver, e nós escolhemos lutar ao lado dela.
Com a ajuda de muitas pessoas de coração incrível, conseguimos custear os primeiros atendimentos, exames, raio-x e a cirurgia para colocação da placa. Porém, os custos continuam:
• diárias da internação,
• medicamentos,
• curativos,
• cuidados intensivos,
• e a cirurgia de amputação que ainda falta pagar, além de tudo que ainda será necessário até sua recuperação.
Criamos esta vaquinha porque realmente precisamos arrecadar esse valor inicial para continuar o tratamento da Pantufa. Cada contribuição, por menor que seja, faz uma diferença enorme na vida dela.
A Pantufa quer viver. Nós queremos salvá-la. E com a ajuda de vocês, nós vamos conseguir.
Desde já, agradecemos de coração por todo apoio, compartilhamento e qualquer valor doado. 🐾❤️Acompanhe o caso pelo nosso Instagram
@uniao_protetora_caseiros.