
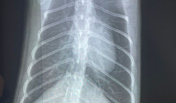
Nossa gatinha de 1 ano tem uma doença congênita chamada pectus excavatum e bronquite, nos últimos dias ela ficou bem atacada e precisa de tratamento intensivo com oxigênio, remédios, exames, etc. Para isso estamos arrecadando um dinheiro para poder fazer tudo isso e proporcionar uma vida melhor para ela