
No dia 24, uma cadelinha foi atropelada na frente da nossa casa. Ao ver a situação, não conseguimos ignorar e imediatamente prestamos socorro, levando-a ao veterinário.
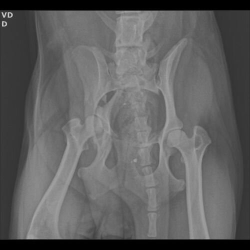
Desde então, ela está internada, recebendo cuidados, exames e medicação. Infelizmente, devido à gravidade do atropelamento, ela precisará passar por uma cirurgia ortopédica de quadril urgente para ter chance de recuperação e voltar a andar e viver sem dor.
Até o momento:
Estamos fazendo tudo o que está ao nosso alcance, mas não conseguimos arcar com esse valor sozinhos. Por isso, criamos essa vakinha para pedir ajuda.
Qualquer valor faz diferença. Se você não puder doar, por favor, compartilhe isso também ajuda muito.
Nos comprometemos a manter total transparência, postando atualizações, comprovantes e notícias sobre a recuperação dela.
Siga-nos no Instagram e acompanhe toda a história!
@luiz.s0uza @karine.tavar
Desde já, agradecemos de coração a todos que puderem ajudar essa vida 💛



