
Leia abaixo a parte de prêmios que irei sortear entre os apoiadores da vakinha: sortearei uma tablet de desenho (sem tela), 5 livros do meu quadrinho, uma encomenda pet e para você que quiser doar qualquer valor mesmo, estarei enviando por e-mail um kit digital de wallpaper e páginas para colorir, como agradecimento!
Junto com essa página, estarei fazendo encomendas para brasileiros com bônus de um rascunho da cabecinha do pet junto com a encomenda pedida, e para clientes de encomendas em USD, irei depositar todo valor recebido na vakinha para manter o controle.
EDIT 31/10 11 da manhã: A Sushi só vai operar uma patinha, então abaixei o valor da vakinha, já que a cirurgia será em uma pata só! Muito obrigada!!
Para ajudar ainda mais com os custos E RECOMPENSAR vocês, vou abrir duas lojinhas: uma de venda do meu livro de quadrinhos no Mercado Livre, e outra de camisetas estampadas. Em breve edito a descrição com os links para quem tiverem interesse em adquirir.
Tudo vai ser contabilizado e assim que conseguir o valor de todas as formas IREI ENCERRAR A VAKINHA, mesmo que o valor todo não seja conseguido todo por aqui.
Agradeço de coração o tempo de vocês e muito obrigada pela consideração <3
Oi, Gente! Meu nome é Júlia Mello, mas podem me chamar de Jubs. Trabalho com ilustração de livros didáticos para escolas, livros infantis e faço direção de arte para um estúdio de animação/desenho animado.
Também sou quadrinista e tenho 3 lulus da pomerânia. Uma deles, que é a minha cachorrinha Sushi, vai precisar operar a patela (joelho) porque ela está com luxação de patela no grau 3-4. São 4 graus de gravidade, então a melhor decisão no momento seria operar a patinha dela, não tem jeito.

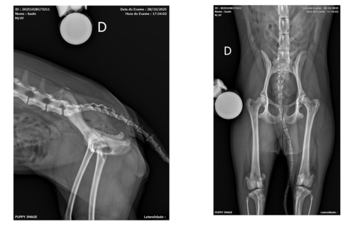
Quando o bichinho tem luxação de patela em graus mais baixos, a patela desloca, mas logo volta ao lugar. O que não é mais o caso da Sushi :( Olha como está a patinha dela:

Situação:Recentemente, na segunda do dia 27 de Outubro de 2025, a Sushi começou a mancar muito, depois arrastar a patinha direita, como se tivesse a quebrado, e eu me assustei MUITO porque a pata dela parecia uma geléia. Seguiu sem muita melhora nos dias seguintes, mesmo com os anti-inflamatórios.
No dia, corri para a clínica veterinária, ainda com a pata dela nesse estado e fizemos o raio x para ver se não tinha rompido nenhum ligamento. Não rompeu, mas a luxação na patela estava MUITO grave e a outra patinha também está já com a luxação. Vamos avaliar amanhã na sexta (dia 31 de outubro) se será necessário operar as duas patas.
Atualização dia 31/10: sushi foi avaliada e só precisa operar de uma patinha.
Depois dessa operação, NUNCA MAIS A Sushi vai mancar e vai poder correr e andar tranquilamente, sem sentir dor ou desconforto por deslocar o joelho toda hora!!
Como não recebi de um freela meu ainda (E NEM sei quando receberei, por questões mais burocráticas de banco que estou tentando resolver o mais cedo possível), está beeem complicado esse mês - ainda mais sendo final do mês, e consegui parcelar alguns procedimentos com juros no meu banco, e todo valor da vakinha será destinado a pagar a cirurgia da Sushi + exames + medicamentos + transporte e tudo relacionado a essa situação de emergência.

A Sushi tem 3 anos, mas aos 5-6 meses, começou a mancar algumas vezes, mas como logo voltou, a luxação de patela não era grave.
Com um ano, já precisávamos levá-la ao veterinário por causa que pulava feito saci com mais frequência - e foi dito que o grau de gravidade da luxação tinha aumentado, e começamos a suplementar com o colágeno manipulado UC2.
E assim foi desde então, observando, até chegar nesse ponto que, como disse, não tem o que fazer se não operar, pelo bem dela.
Será feito na clínica Vet Vital Care, em Curitiba, com uma médica veterinária especialista em ortopedia, a Dra. Janyana, na sexta-feira, dia 31.
Ela atende meus pequenos desde que mudamos para cá, em 2023. Confiamos muito nela e em toda equipe da clínica.
SUPER SORTEIO: Vou sortear 5 livros autografados do meu quadrinho @pompomtiras para 5 apoiadores da campanha, mandarei via correios.
Primeiro lugar: 1 tablet de desenho sem tela, marca xancelabs, como na foto (envio por correios
Segundo lugar: Vou sortear 1 encomenda pet digital para um apoiador da campanha.
Prêmios para todos apoiadores, que apoiarem com qualquer valor: kit digital para download - wallpapers, desenhos para colorir do tema do meu quadrinho pompomtiras.
Todos os prêmios serão entregues quando o valor da vakinha for arrecadado.
Para envio dos prêmios digitais: será necessário compartilhar só o e-mail.
Para envios físicos, vou precisar do endereço completo de residência, com CPF, dos ganhadores do sorteio (dos livros e tablets)
Por 50 REAIS, você ganha um rascunho do seu pet! Mandar o comprovante com a foto do pet para o heysailorjubs@gmail.com


Sushi, fêmea, spitz alemão anão de 3 anos e 3kg.





Muito obrigada a todos que podem apoiar a campanha, como puder: com compartilhamento e doações. Todo valor vai ajudar a cobrir todos os custos dessa emergência! Muito obrigada mesmo mesmo, do fundo do meu coração!
Para demais atualizações, vou postar no meu instagram @sailorjubs
