Como ajudar
Descubra
Como funciona
Ajude a Laika
Animais / Pets

Ajude a Laika

ID: 5884594
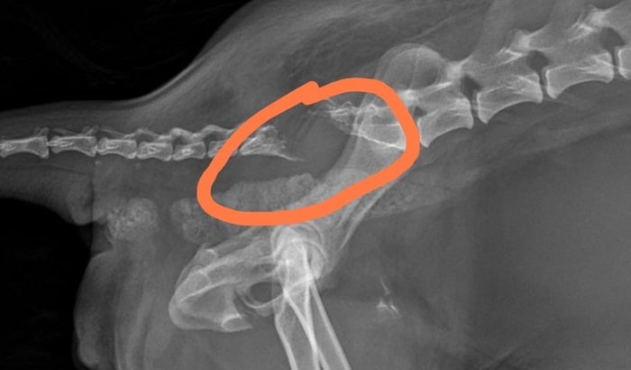
Laika fugiu e acabou sendo atropelada, com isso fraturou a cauda sendo nescessario cirugia para amputação . ver tudo
Sobre
Atualizações
Quem ajudou
Vakinha Premiada
Selos recebidos
Perguntas e Respostas
Você pode ajudar via Pix usando a chave:
5884594@vakinha.com.brCopiar link
Vaquinha criada em: 07/01/2026

Laika fugiu e acabou sendo atropelada, com isso fraturou a cauda sendo nescessario cirugia para amputação .

Você também pode contribuir via Pix usando a chave: 5884594@vakinha.com.br
Denunciar essa vaquinha
AVISO LEGAL: O texto e as imagens incluídos nessa página são de única e exclusiva responsabilidade do criador da vaquinha e não representam a opinião ou endosso da plataforma Vakinha.
Arrecadado
R$ 830,00
de R$ 1.500,00
Corações Recebidos
21
Apoiadores24
Outras histórias também precisam de você!