
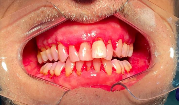
Tenho alfatalassemia e estou com Periodontite uma Infecção gengival grave que danifica as gengivas. E não tenho condições para tratar. Peço sua ajuda em qualquer quantia.
I have alpha thalassemia and I have Periodontitis a serious gum infection that damages the gums and can destroy the jaw bone. And I can't handle it. I ask for your help in any amount.
Deus o abençoe.
God bless you