
🐾 Ajude a salvar a vida da Rubi! 🐱💕
Amigos e amantes de animais, precisamos da sua ajuda urgente! Nossa querida gatinha Rubi está enfrentando uma cirurgia vital para sua saúde. Ela é uma parte querida de nossa família e nos trouxe tanta alegria ao longo dos anos.
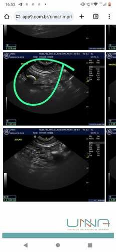
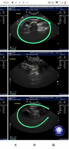
Infelizmente, a Rubi foi diagnosticada com cistolitíase (pedra na bexiga de grande proporção) e precisa realizar com urgência a retirada do cisto, isso custará R$ 800, 00 mais medicações e no momento não temos condições de pagar. Como membros da nossa comunidade felina, sabemos que vocês entendem o vínculo especial que compartilhamos com nossos animais de estimação. Qualquer contribuição, por menor que seja, fará uma enorme diferença para garantir que ela receba o tratamento de que precisa.
Cada doação nos aproximará do nosso objetivo e nos ajudará a dar à Rubi a chance de uma vida longa e feliz ao nosso lado. Por favor, abra seu coração e faça parte desta jornada para salvar nossa amada gatinha Rubi.
💖 Faça sua doação hoje e ajude a Rubi a voltar a brincar e ronronar em breve! Cada gesto de bondade conta. Muito obrigado pelo seu apoio! 💖



