
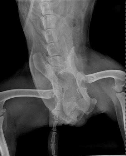
Doguinho foi atropelado na pista de engenheiro coelho, uma pessoa de bom coração conseguiu tirar ele da beirada da pista, porém não tem condições de pagar cirurgia e nem os medicamentos. Resgatamos ele e levamos até o consultório da Dra Daniela, onde foi feito um raio X que apontou várias fraturas. E será necessário realizar uma cirurgia pois ele está sofrendo muito. Toda ajuda é bem vinda, nos ajude a dar um recomeço lindo para esse doguinho ❤️


