
Eu sou Miriam e estou precisando de doações para fazer minha cirurgia, pois é de urgência
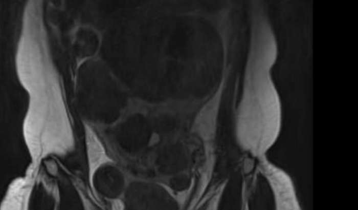
Tenho mais de 20 miomas, endometriose profunda, cisto nos 2 ovarios e o meu utero tem uma aderência com o intestino, alguns miomas estão gigantes .
Por favor me ajudem pois a cirurgia é de urgência.
Os miomas estão imprenssando o meu rim direito e estou correndo risco de perder o rim,
Por favor me ajudem