
Aos 30 anos, recebi o diagnóstico que ninguém espera: câncer renal. Preciso da sua ajuda para fazer uma cirurgia que pode salvar meu rim e minha vida.
Me chamo Gabriel, tenho 30 anos, e estou enfrentando um dos momentos mais difíceis da minha vida.
Dias atrás, fui fazer exames por precaução; minha mãe havia acabado de receber o diagnóstico de câncer renal, e algo dentro de mim me disse que eu também deveria investigar. E para minha surpresa (e desespero), o resultado veio: eu também estou com câncer.
Foi um baque. Eu estava assintomático, cheio de planos, trabalhando, vivendo.De repente, tudo parou. Minha rotina, meus projetos, meu chão.
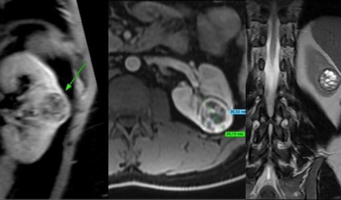
O tumor é agressivo, tem alta complexidade (RENAL score 9p) e está localizado muito próximo das vias urinárias, com risco de comprometer completamente meu rim.A única forma de me tratar com segurança e preservar ao máximo minha função renal é por meio de uma cirurgia robótica, um procedimento minimamente invasivo, de alta precisão. Mas infelizmente meu plano de saúde (SulAmérica) não cobre esse tipo de cirurgia.
O custo é alto, e arcar com os custos sozinho é bem difícil. Por isso, peço sua ajuda.
Suas preces e orações são extremamente bem vindas.
Se você não puder doar, compartilhar também pode me ajudar no tratamento. Enviar essa vaquinha para um grupo, para um amigo, para alguém que possa ajudar ja traz mais esperança.
Caso queira contribuir diretamente é só usar a chave Pix: gabrielgarcezal@gmail.com
Com gratidão,
Gabriel.





