
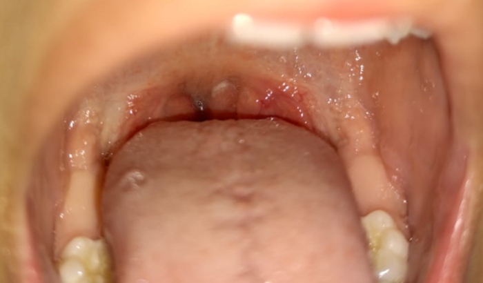
Oi! Eu sou a Helena Araújo Nascimento (4 anos) e estou precisando muito de fazer uma cirurgia na garganta. Já perdi mais de 60% da passagem de ar e não estou conseguindo dormir bem, principalmente se estiver deitada (geralmente me sinto melhor dormindo sentada). É uma cirurgia que custa um dinheiro que meus pais não têm nesse momento, por isso estamos pedindo sua ajuda de qualquer valor.