
Olá, pessoal…
Lembram da Jujuba!?
*Relembrando a história dela…
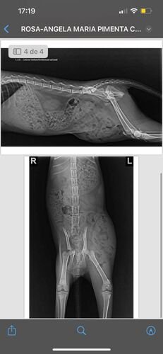
Ela foi atropelada, abandonada e recebemos o pedido de ajuda! Resgatamos…ela passou pelo vet e fez um raio-x, no qual foi visto fratura do quadril em 2 lugares e rompimento do abdômen!!! O INTESTINO foi parar na PERNA e ela corria RISCO DE MORTE!

Ela passou por cirurgia para corrigir a abertura do abdômen e já foi realizada a castração…o vet optou por não corrigir as fraturas do quadril devido à complexidade da cirurgia e por ter chance de calcificar pela idade, mas infelizmente pode ser que ela fique “tortinha” e até tenha dores pro resto da vidinha dela…

Diante da extensão da cirurgia, foi necessário interná-la….o que aumentou consideravelmente os gastos! Conseguimos pagar uma parte com a vakinha anterior, mas ainda há muito a ser pago…
Por isso iniciamos uma nova vakinha!
Nos ajude nessa causa! Estamos fazendo tudo o que podemos por ela, mas precisamos de ajuda!
