
🐾 Oi… eu sou o Apollo e preciso da sua ajuda 🐱💔
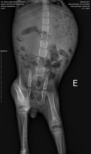
Eu fui encontrado em um estacionamento aqui em Santa Adélia, sentindo muita dor e com dificuldade para andar. Quando me levaram ao veterinário, descobriram que meu fêmur está quebrado.Para eu voltar a andar e ter uma vida sem dor, eu preciso fazer uma cirurgia urgente.
Mas essa cirurgia é cara, e meus anjos que me resgataram estão tentando conseguir ajuda para que eu possa me recuperar. Qualquer valor, qualquer compartilhamento, qualquer gesto… tudo faz diferença pra mim. 🥺💕
Se você puder me ajudar
📞 Contato: (17996717919)
Eu prometo agradecer com muitos ronrons quando estiver melhor.Muito obrigado por olhar por mim.— Apollo 🐾
