
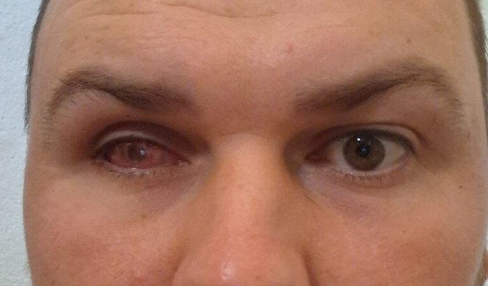
Meu nome é Marcelo, estou criando esta vaquinha por q presiso de 50 mil para pagar algumas contas, ano passado sofri um acidente e perdi o olho direito, no momento estou usando uma prótese ocular, trabalho na agricultura familiar, quando o acidente aconteceu estavamos na colheita e por ter sofrido o acidente perdemos nossa safra.