Como ajudar
Descubra
Como funciona
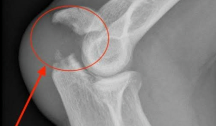
Acidente de moto fratura na ponta da rádio.. Preciso de ajuda tenho 3 filho 1 recém nacido
Saúde / Tratamentos

Acidente de moto fratura na ponta da rádio.. Preciso de ajuda tenho 3 filho 1 recém nacido

ID: 3512944
Sou motoboy sofri um acidente de moto,  dia 10/02/2023 estou aguardando cirurgia tenho 3 filhos 1 recém nascido estou impossibilitado de trabalho agradeço muito de coração obrigado 🙏 ver tudo
Sobre
Atualizações
Quem ajudou
Vakinha Premiada
Selos recebidos
Perguntas e Respostas
Vaquinha criada em: 23/02/2023

Sou motoboy sofri um acidente de moto,  dia 10/02/2023 estou aguardando cirurgia tenho 3 filhos 1 recém nascido estou impossibilitado de trabalho agradeço muito de coração obrigado 🙏

Denunciar essa vaquinha
AVISO LEGAL: O texto e as imagens incluídos nessa página são de única e exclusiva responsabilidade do criador da vaquinha e não representam a opinião ou endosso da plataforma Vakinha.
Arrecadado
R$ 5,00
de R$ 10.000,00
Corações Recebidos
15
Apoiadores1
Outras histórias também precisam de você!