
Olá, pessoal!
Me chamo Ana Carolina.
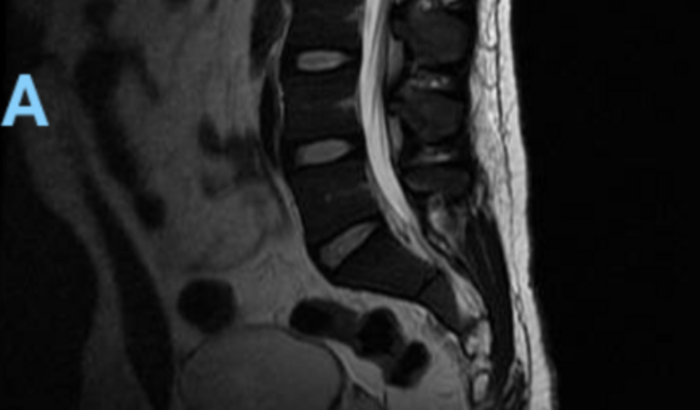
Meu marido desenvolveu uma condição rara de abscesso, num músculo chamado Psoas. Isso é, contraiu uma infecção causada por bactéria, gerando uma inflamação, que fez com que, além desse problema por si só, causasse uma dor inimaginável, pois o nervo ciático foi comprimido. Todo esse quadro o deixou impossibilitado, literalmente de cama, com dificuldades de levantar, sentar, andar ou realizar qualquer momento. Acabou perdendo os movimentos da perna esquerda. Ficou impossibilitado também de trabalhar.
Foram muitas consultas, algumas visitas a emergência por causa da dor e também um exame de ressonância magnética até que o problema pudesse ser identificado, mas estava só começando a história.
A pior parte estava por vir: UTI.
Sim, infelizmente foi necessário internação direta na UTI para, além de verificar o melhor tratamento, observar de perto essa condição.
O tratamento escolhido foi antibiótico (caso não desse resultado, cirurgia). E foram 3 longos dias na UTI.
Todos os dias através de exame de sangue, os médicos estão monitorando o quadro clínico dele, e Graças a Deus os medicamentos estão dando resultado, a inflamação dando sinal de diminuição e a bactéria que se alojou no músculo está começando a diminuir também. Mas ainda será necessário manter o tratamento por tempo indeterminado, até que acabe de vez, sem previsão de alta.
E qual a finalidade da vaquinha?
Durante esse período foram muitos gastos extras, como medicamentos (que ainda terão que ser comprados mais), as consultas e exames (que embora haja o plano de saúde, há a coparticipação e foram muitos gastos para chegar ao diagnóstico e a cobrança virá), muletas, seção de fisioterapia e principalmente transporte, pois sem dirigir e sem andar tudo precisou ser feito com transporte de aplicativo e estão sendo muitas viagens.
As contas de luz e água aumentam, pois foram dias de calor e foi necessário utilizar muito o ar condicionado.
Também gastos extras com alimentação, pois recebemos minha mãe e meu irmão em casa, algum tempo, para ajudar no cuidado com as crianças.
Meu marido está sem trabalhar a quase 1 mês e não há previsão para retornar, não se sabe quando receberá do INSS.
O carro da família está a venda, mas vender um carro não é simples assim. Ainda mais quando não se é um carro novo. E como sou empreendedora precisei dar um pause nos atendimentos, pois estou dando total atenção e suporte ao meu marido
E as contas não param: luz, água, telefone, aluguel, cartão…
Tudo que meu marido quer é voltar ao lar, ao convívio normal comigo e nossos filhos. Ele sempre foi muito responsável e bom pagador, nunca atrasa uma conta sequer. Então sei que toda essa situação o trará muita aflição e entendo que já está sofrendo demais…
Não iria criar e nem sei muito como funciona essa questão da Vakinha Online, mas a pedido de alguns amigos e familiares que gostariam de ajudar, achei mais justo e válido pois vocês conseguem acompanhar os valores de maneira transparente.
No mais é isso, tenho certeza que esse será mais um milagre de Deus na nossa família e em breve testemunharemos esse milagre total na vida do meu marido.
Perdão pela minha ausência no retorno das mensagens via whatsapp, preciso focar no cuidado das crianças e da gestão da casa com a ausência do Yago.