
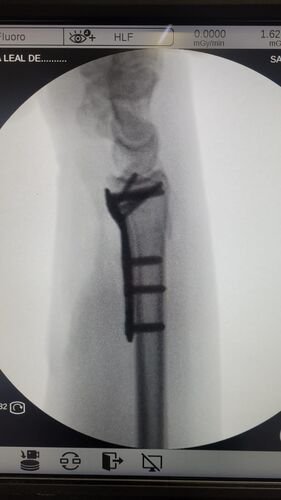
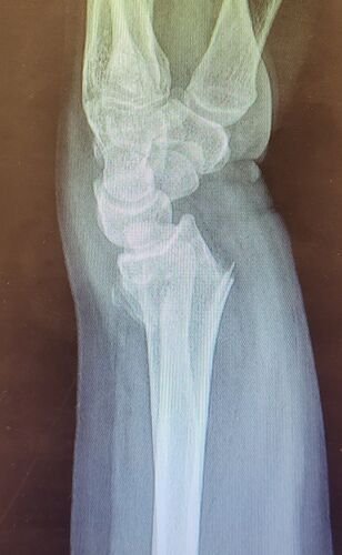
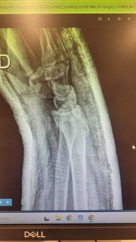
Meu nome e Isabella, mais conhecida como Snow, eu estava andando de muleta e a borracha dela saiu e eu tenho problema de equilibrio devido ao meu femur, bati o osso e piorou a situação, tive o radio do braço afetado e colocaram pino e deram um jeito de reverter porque eu ficaria com movimento do braço e mão comprometidos, tive traumatismo craniano porque bati a cabeça, esse ano eu já tinha sofrido um depois de um aparelho de raio x cair na testa mas fiquei sem sequelas na cabeça. Bom como muitos que me acompanham eu tenho uma condição rara entre mulheres que eu tenho os ossos do fêmur necrosados em mais de 75% desde 2022, eu sofri um acidente hoje andando de muleta, machuquei o fêmur, rosto, tivd que operar porque era uma emergência, não tenho muitas fotos pois estava internada mas tentei no SUS e não tinha pino de titânio,meu caso era de extrema urgência, eu to vendendo tudo e abrindo mão ate do meu apartamento pra cobrir a cirurgia e tenho ate final de setembro pra bater pelo menos 20 mil de meta, tenho inúmeras vakinhaa mostrando minha real doença autoimune e uma delas sendo rara que é osteonecrose bilateral do fêmur, o tratamento tá sendo todo particular mesmo sendo paciente do hospital das clínicas, ainda e difícil e nem sempre consigo as coisas, eu tento de todas formas é isso ainda pode me prejudicar na minha carreira, detesto pedir ajuda mas não tenho opção, a comunidade da minha área entre outros interesses sempre me apoiaram e infelizmente veio com humildade e de cabeça baixa pedir ajuda, faz tempo que tento recomeçar minha carreira desde o diagnóstico e nunca desisti dos meus sonhos e cirurgia
Vou deixar imagem atual do acidente abaixo e de algumas vakinhas anteriores











































