
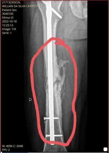
Oii, meu nome é Willian, sou portador de Osteomielite Crônica à 1 ano e 2 meses, já passei por 4 cirurgias, mais de 70 dias internado, muitos antibióticos e muito sofrimento, peguei uma bactéria no osso após uma cirurgia de fratura no Fêmur e só foi diagnosticado depois de meses por outro médico, agravando ainda mais a Infecção, desde então venho sofrendo e lutando contra essa doença terrível que está acabando com o meu osso aos poucos, no SUS dizem não ter cura, mas para Deus e um especialista em infecção ortopédica que aceitou pegar meu caso, tem cura sim, porém o tratamento é cirúrgico e tem um alto custo, 90.000,00. A doença vem se agravando e corro sérios ricos, o medo de perder a perna está acabando comigo. Mas vamos pensar pelo melhor 🙏🏻
Venho pedir ajuda à você nessa corrente do bem.
Deus abençoe a todos pela Grande ajuda.
Se quiser me mandar uma mensagem de motivação, vou ficar muito feliz. Pois é nessas que precisamos de amigos, muito amor e carinho. 🙏🏻🙏🏻
WhatsApp 43 996376247
Instagram @wiillcampos_
Gente, algumas pessoas entraram em contato comigo porque não conseguiram fazer a doação aqui na Vakinha.
Vou deixar meu pix aqui também 🙏🏻
Pix - CPF - 435.779.428-51
Obrigado a todos pela ajuda e pelas mensagens maravilhosas que tenho recebido 🙏🏻
Deus abençoe 🙏🏻



