
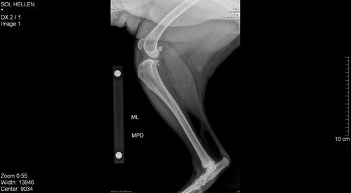
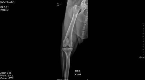
Está é a Sol, ela tem 10 anos , diagnóstico com uma ruptura no joelho, e será necessário fazer cirurgia.
Abaixo está a descrição do médico veterinário e os valores pra fazer a cirurgia.
Eu trabalho como diarista, e não tenho condições de fazer a cirurgia nela agora, por isso venho pedir ajudar pra conseguir o valor pra fazer o quanto antes e tirar ela desse sofrimento.
Ela e muito ativa e brincalhona e por causa deste problema, não podemos brincar com ela pra ela não ficar forçando o joelho .
Abaixo está as imagens do raio X dela.

Ruptura de ligamento do joelho, correção cirúrgica, não há outro tratamento, sem isso o animal vive com dor crônica pois vai lesionar os meniscos, alta chance de artrose se desenvolver mais rápido e vai forçar a outra pata pra acontecer a mesma coisaA cirurgia pra corrigir isso chama TPLOValor estimado a vista 2700Material 550Anestesia 650Cirurgia 1500
Como é a cirurgia, quais os riscos e benefícios apenas pessoalmente
Desde de já agradeço a colaboração de todos.
Gratidão 🙏😌🙏