
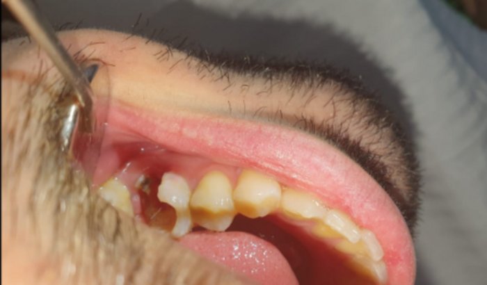
Eu sou o Murilo, criei essa vaquinha, pois preciso arrecadar R$3.950,00 para o meu tratamento dentário. Tenho que fazer extração e implante. Conto com sua ajuda :)
Os valores são:
R$ 180,00 - extração
R$ 1500,00 - implante
R$ 270,00 - membrana (para recuperação e fortalecimento da gengiva local)
R$ 2000,00 - prótese (no preço atual, podendo alterar o preço nos 4 meses de recuperação)
Total atual = R$3950,00