
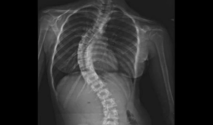
Essa é minha filha , Maria Eduarda 11 anos !
O intuito dessa vaquinha era pra pagar a cirurgia dela no particular ! Mais Deus é tão bom , tão bom que a cirurgia dela vai sair 🙏
Editei a vaquinha, pois agora não precisamos daquele valor absurdo que estava , agora preciso de ajuda apenas com as custas de , Alimentação , hospedagem , o pós operatório dela , entre outras coisas .
Quem nos conhece já sabe a luta que está sendo então agradeço desde já toda ajuda que já foi dada , e quem quiser ajudar com qualquer valor que Deus retribua em dobro cada um de vocês .
Lembrando que , coloquei esse valor mais o que não for usado eu vou doar pra alguma criança na mesma situação que a minha filha , com esse problema na coluna !
pois só eu sei o quão foi difícil pra mim conseguir !
Agradeço de coração , quem quiser saber mais sobre a Duda vou deixar meu whats aqui , tenho tbm a chave pix dela.
Obrigada e Deus abençoe 🙏
Whats (14)998273326
Pix : 41340358808