
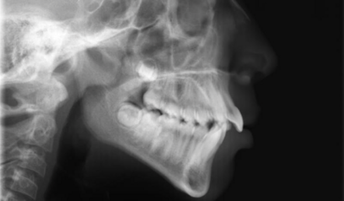
Sou mãe da Emanuelly de 9 anos, somente os mais próximos sabem,mais a Manu precisa urgente usar um aparelho para abertura do céu boca, alinhamento de dentes(ah mais pke não procurou um mais em conta? Pois bem procurei,ela até começou um tratamento,mais sem sucesso,pke toda vez que apertava o aparelho caia e meu dinheiro foi pro ralo) então me indicaram Dr Jefferson, fui até seu consultório e foi super atencioso,me explicou que o caso da Manu é mais grave que só um dente torto,esta imagem da pra ter uma noção( tenho outras fotos pra quem se interessar só chamar que mando), Manu está tendo problemas com respiração,não consegue respirar pelo nariz por conta do céu da boca muito aberto,então precisa urgente do uso do aparelho para esse fechamento e conseguir voltar a respirar pelo nariz, Manu vive com a garganta infeccionada por conta da má respiração,e como alguns sabe ela não pode ter infecção por conta da Síndrome dela(Síndrome Nefrotica/problema renal)pois cada vez que ela tem uma infecção ela incha rosto, abdômen,pernas…Eu não tenho condições e nem de onde tirar o dinheiro desse tratamento, por isso fiz essa vaquinha para que com a ajuda de todos eu possa pagar esse tratamento para ela, meu telefone é 14 998528646 estou a disposição para qualquer dúvida.. Agradeço desde já a cada um que ajudar de coração.. Deus abençoe grandemente ❤️ Obs: Se conseguirmos mostrarei o resultado e todo processo em minha rede social:LaisMota para que vcs possam ver cada passo desse tratamento… obrigada mais uma vez….