
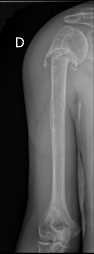
Meu namorado foi atingido por uma carro em 2020 e fraturou o úmero superior direito, fez cirurgia e colocou fios de Kirschner, fez fisioterapia mas nunca chegou a ficar 100%. Perdendo 75% da movimentação do braço! Após novo trauma no braço descobriu que a fratura nunca colou / nunca se consolidou, criando pseudoartrose, agora precisando fazer uma nova cirurgia e por uma placa, algo que não é contemplado pelo SUS / Sistema Único de Saúde. Ele não consegue trabalhar e se manter, sente dor e a movimentação está menor do que antes! O mesmo precisará entrar na justiça, sabemos como isso é demorado. Então pretendemos fazer particular. A cirurgia tem um custo estimado em 30 mil reais! Toda ajuda será bem vinda!
Cid M84.1
CRISTIANO PRUDENTE KNEVITZ
Whatsapp 51984951285
Cnpj 34.571.103/0001-23


