
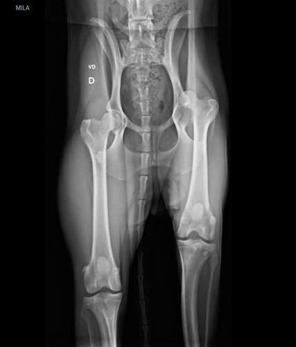
Essa é a Mila, ela foi encontrada abandonada em Janeiro de 2024 com a patinha traseira machucada. Para que ela possa voltar a andar normalmente, é necessário fazer uma cirurgia chamada colocefalectomia. Mesmo com os descontos concedidos por um veterinário de uma ONG, ainda precisamos de ajuda para melhorar a qualidade de vida dessa cachorrinha. Você pode nos ajudar?
Caso queira doar diretamente, a chave é: 76faee2b-e50a-4c9e-95c2-92721b19c984
Arrecadado pelo pix acima: R$ 270,00

