
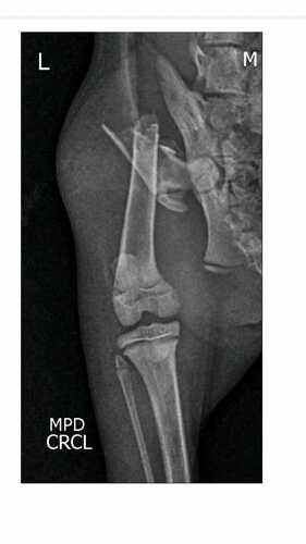
Olá sou a Gaia, tenho 3 meses adoro ronronar, sou muito dengosa e sapeca; no último domingo (04/02) fui atacada por um cachorro que entrou na minha casa, fui salva pelo meu dono e minha irmã canina, mas fui muito machucada, me levaram correndo para a tia veterinária que fez analgesia e um raio-x pra ver o que aconteceu com minha patinha e infelizmente ela foi quebrada, preciso de uma cirurgia para voltar a pentelhar todo mundo e infelizmente meu tutores não conseguem arcar com o valor; ficaria muito feliz com qualquer ajuda! Muito obrigada!
Att.: Maria Eduarda e Bruno B. Schafer




