
Maya foi atropelada e quebrou a patinha, duas fraturas no calcanhar. Ela precisa fazer cirurgia e a cirurgia está custando 3.500,00 e não temos condições de pagar porque mês passado nossa cachorrinha também precisou de cirurgia e custou 4.000,00. Quem puder, de coração, nós ajudar com qualquer quantia, iremos agradecer imensamente!
Quem quiser entrar em contato, enviamos fotos dos exames e também atualizamos o dia a dia da Maya. ( 11 96628 - 6835 )
ATUALIZAÇÕES -
Dia 22/01/24, Maya irá fazer exames de sangue, para agendar a cirurgia.
Dia 24/01/24 - Está agendada a cirurgia da Maya.
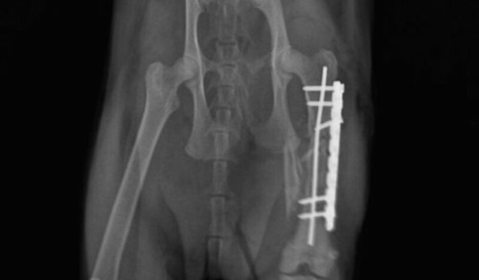
DIA ATUAL 24/01 - Maya fez a cirurgia e teve que colocar placas, pinos na sua perninha. Há riscos que podem levar a amputação mas Deus é maravilhoso e isso não irá acontecer. 🙌🏻