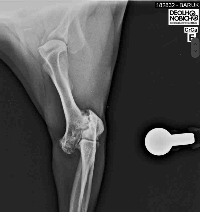
Nosso querido Baruk precisa passar por uma nova cirurgia devido a uma fratura mal calcificada que o levou a se machucar novamente. Infelizmente, dessa vez, a única solução é realizar um procedimento cirúrgico delicado e de alto custo.A cirurgia está marcada para o dia 08/01 e o valor total necessário é de R$8.000,00.Estamos contando com a sua ajuda para devolver ao Baruk a chance de viver sem dor e com qualidade de vida. Qualquer contribuição será imensamente valorizada e fará toda a diferença na recuperação dele.Segue abaixo os orçamento da cirurgia e raio-x da fratura

