
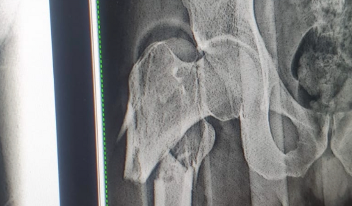
Graça e Paz! Me chamo Weber Teodoro Teixeira, e hoje, dia 28 de setembro, caí de uma altura de 4 metros e nesse acidente, tive uma fratura da cabeça do fêmur, no dedo da mão direita e na face. Estava fazendo um trabalho em uma oficina na cidade de Ji-Paraná/RO. Em decorrência desse acidente, eu preciso fazer uma cirurgia no valor de R$ 15.000,00 reais, a qual eu poderia fazer pelo SUS, porém, a previsão é de 21 dias para realizá-la e estou sentido muita dor, sem possibilidade de me movimentar. Agradeço a quem puder contribuir com qualquer valor ou compartilhar o link de contribuição em suas redes sociais. Que Deus retribua em dobro a você; peço toda benção dEle sobre a sua vida!