
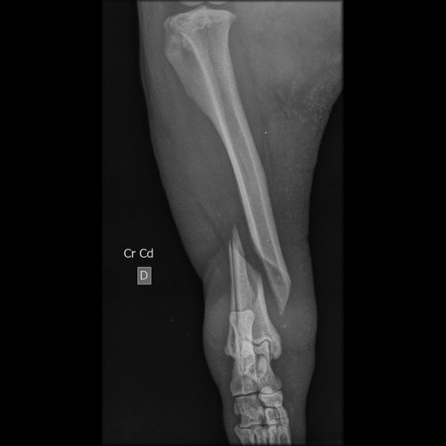
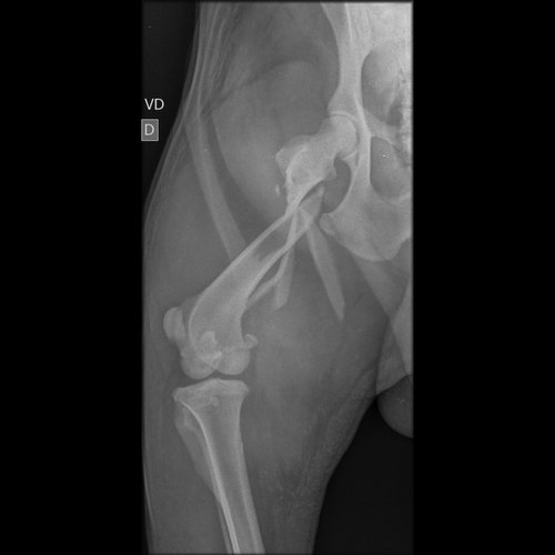
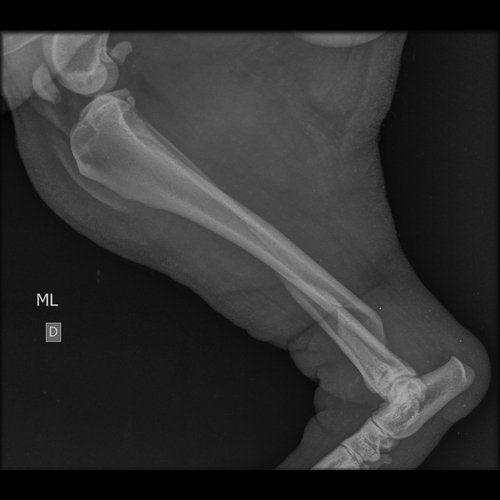
Oi, eu sou a Maria Eduarda, estudante de medicina veterinária e hoje chegou na clínica que eu estou estagiando, um cachorro de rua atropelado, com fratura em femur e tibia e doença do carrapato.
Ele precisa passar por cirurgia e não tenho condições de arcar com os custos.
Os médico veterinários irão fazer a cirurgia e o tratamento dele com o preço de custo, então o valor já foi feito para ajudar o cãozinho. Mesmo assim é um valor que foge um pouco do meu orçamento e como ele é de rua, não tem ninguém parar arcar com tudo.
Nos ajude a salvar o Grandão e dar uma vida digna para ele.



