


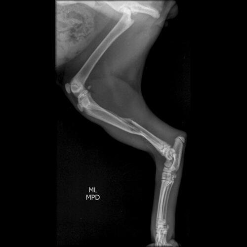
Um gatinho de rua foi atropelado em frente de casa e levamos o gatinho pro veterinario e ele encaminhou pro ortopedista e precisa fazer cirurgia urgente!! Pois ele teve 3 fraturas na perna e no fêmur.. Estamos desesperados e nao temos condições de pagar, e por esse motivo estamos fazendo essa vakinha para que ele possa voltar a andar.