
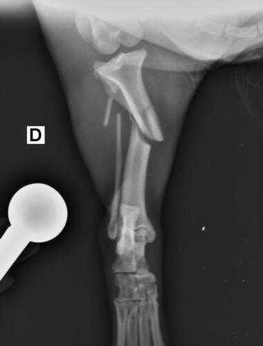
Olá, me chamo Jacqueline sou a mãe do chokito de 4 patas 🐶. No dia 07/02/2025 chokito foi atropelado em frente a minha casa, onde resultou no quadril dele quebrado e a patinha direita traseira quebrada tbm (a tíbia). Quem atropelou ele não parou pra prestar socorro a ele, e mto menos quis saber oque havia acontecido. Chokito foi atropelado na frente dos meus filhos, duas crianças um autista de 5 anos e uma criança de 3 anos, onde o acidente poderia ter acontecido com um deles, mas graças a Deus, Deus livrou eles, mas infelizmente o chokito não. Desde o dia 07 o chokito sofre de fortes dores constantes, onde ele não consegue se movimentar, para se alimentar ele precisa de ajuda, pra beber água, está com dificuldade em evacuar por conta das fortes dores que ele vem sentindo. Preciso de ajuda pra dar uma qualidade de vida pro chokito voltar a andar e parar de sentir dores constantes. A cirurgia ficou em torno de R$5,500 reais, um valor ao qual eu não consigo pagar, tudo tem sido mto caro, tenho gastado com remédios, Raio x, veterinário, já a cirurgia está mto a cima do que eu poderia pagar pra ajudar ele. Chokito é um cachorro que já foi abandonado e maltratado, pegamos amor e cuidamos dele, meus filhos sofrem por não poder brincar com o cachorro deles e ver o cachorro sempre gritando de dor é uma tristeza para todos nós. Por isso preciso de ajuda pra custear essa cirurgia que ele tanto precisa. Por favor quem puder me ajudar de alguma forma pra que ele volte a andar e parar de sofrer. Estou com meu coração dilacerado vendo ele sofrer sem poder fazer mais do que eu já estou fazendo que é cuidar dele. Cada dia que passa é mais tempo que ele passa sofrendo e agravando a situação que ele se encontra.
Por favor qualquer valor que vc puder ajudar será bem vindo pra ele. 🙏🏽😢







