
Oi! Sou a Jujuba!
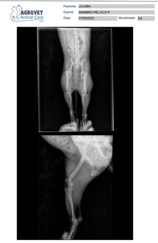
Infelizmente fui diagnosticada e sofro de uma doença chamada “ Necrose asséptica da cabeça femoral direita ” , isso faz com que eu sinta muita dor e faz com que eu ande mancando o tempo todo, não consigo brincar e nem pular direito, não consigo ficar em pé, pois dói bastante. Infelizmente minha mamãe e meu papai no momento não tem condições para arcar com todo o valor da cirurgia, pois tem a cirurgia e também os gastos com a pós cirurgias, fisioterapia e tudo mais … E conforme o tempo passa, esse problema vai afetando ainda mais outras partes do meu corpinho…
Então venho por este meio, pedir por favor a ajuda de vocês com o que puderem ajudar, toda ajuda já é bem vinda e já facilita minha cirurgia pra eu poder voltar a brincar e correr do jeito que eu gosto… 
